Μαζί με τους άλλους σιελογόνους αδένες, ο υπογνάθιος παράγει ένα έως δύο λίτρα σάλιου την ημέρα για την προστασία του στοματικού βλεννογόνου και του σμάλτου των δοντιών, για μηχανικό καθαρισμό, για ανοσολογική άμυνα, ως διαλύτη για τα γευστικά και για την έναρξη της αποσύνθεσης των τροφίμων. Ο εκφορητικός του πόρος τελειώνει στη βλεννογόνο μεμβράνη κάτω από τη γλώσσα. Ένας κλάδος προσωπικού νεύρου και το υπογλώσσιο νεύρο βρίσκονται στην περιοχή.
Λόγω της ειδικής σύνθεσης της σιέλου που παράγει, μπορούν να σχηματιστούν λίθοι στον υπογνάθιο αδένα, που εμποδίζουν την παροχέτευση μέσω του εκφορητικού πόρου Το αποτέλεσμα είναι μια επώδυνη φλεγμονή. Αφού υποχωρήσουν, ο αδένας παραμένει διογκωμένος και σκληρός. Οι πέτρες μπορούν να αναγνωριστούν υπερηχογρφικά εφόσον έχουν μέγεθος άνω των 3mm.
Εάν η πέτρα έχει ήδη μετακινηθεί στον εκφορητικό πόρο και μπορεί να γίνει αισθητή στο πάτωμα του στόματος, μπορεί να αφαιρεθεί εύκολα μετά από σχάση του πόρου. Αυτή η διαδικασία μπορεί να πραγματοποιηθεί με τοπική αναισθησία.
Ωστόσο, εάν η πέτρα είναι ακόμα στο ακροφύσιο, ο αδένας πρέπει να αφαιρεθεί εντελώς. Η πιο συνηθισμένη ένδειξη για χειρουργική επέμβαση στον σιελογόνο αδένα της κάτω γνάθου είναι η επαναλαμβανόμενη διόγκωση ή φλεγμονή του αδένα, η οποία μπορεί να προκληθεί, για παράδειγμα, από μια σιελογόνια πέτρα. Η μη χειρουργική θεραπεία ή η αποσύνθεση των σιελογόνων πετρών με κύματα υπερήχων είναι συχνά μακροπρόθεσμα ανεπαρκής.
Επιπλέον, ένα μόρφωμα στον αδένα μπορεί να αναχαιτίσει τη λειτουργία. Οι περισσότερες από αυτές είναι καλοήθεις. Βέβαια μόνο η ιστολογική παθολογοανατομική εξέταση μπορεί να δώσει απαντήσεις για το είδος του μορφώματος.
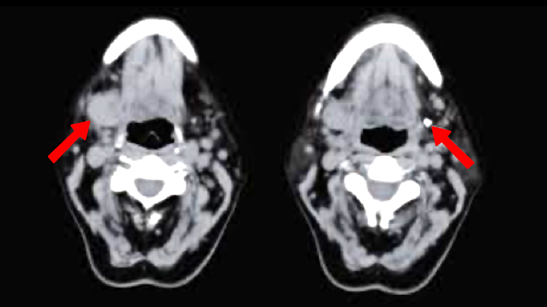
Η απεικόνιση ανήκει στην προετοιμασία μιας επέμβασης. Τις περισσότερες φορές είναι μία ή περισσότερες εικόνες υπερήχων του αδένα που πρέπει να χρησιμοποιηθούν. Σε ορισμένες περιπτώσεις απαιτείται τομογραφία (MRI, CT).
Η χειρουργική αφαίρεση του υπογνάθιου αδένα πραγματοποιείται πραγματοποιείται με γενική αναισθησία. Ανάλογα με το μέγεθος και τη θέση του σιελογόνου αδένα της κάτω γνάθου, γίνεται μια κατάλληλη τομή του δέρματος περίπου δύο δάχτυλων πλάτους κάτω από την κάτω γνάθο. Ο αδένας στη συνέχεια αποσπάται από το περιβάλλον του – υπό την προστασία από τα γύρω αγγεία και τα νεύρα. Μερικές φορές, εκτός από την τομή του δέρματος από το εξωτερικό, ο εκφορητικος πόρος κάτω από τη γλώσσα πρέπει επίσης να διανοιχθεί και να μαρσιποποθηθει. Σε ορισμένες περιπτώσεις, η βαθιά θέση του αδένα απαιτεί την εισαγωγή παροχέτευσης. Αυτό γίνεται για να αποφευχθεί ο σχηματισμός μωλώπων στην περιοχή. Η παροχέτευση μπορεί συνήθως να αφαιρεθεί μετά από δύο ημέρες.
Μετά την επέμβαση, χρειάζονται αλλαγές και τοπική απολύμανση. Βεβαιωθείτε ότι δε θα έρθει σε επαφή με νερό η χειρουργημένη περιοχή έως ότου η πληγή επουλωθεί πλήρως, καθώς αυτό θα μπορούσε να οδηγήσει σε λοιμώξεις, διαταραχές επούλωσης πληγών και δημιουργία χηλοειδών.




